It thrills us to share the exciting pregnancy journey of one of our patients with the baseline follicle-stimulating hormone (FSH) of 46.6 mIU/ml which is commonly considered menopause, during National Infertility Awareness Week!
This is an important story for us because it highlights our focus and expertise. This patient started treatment with us over five years ago, and she was told by another IVF center that conception with her eggs was not possible, and her best option would be egg donation. Today she is about 12 weeks pregnant and her non-invasive chromosome testing came back negative/normal.
We used the patient’s egg, not a donor egg. Because of her extremely high FSH, the egg was stimulated using a “Suppression Stimulation,” which is a protocol involving only non-traditional oral medication such as birth control pills for “stimulation.” The egg was retrieved under local anesthesia, cultured, and frozen as a Day 3 embryo.
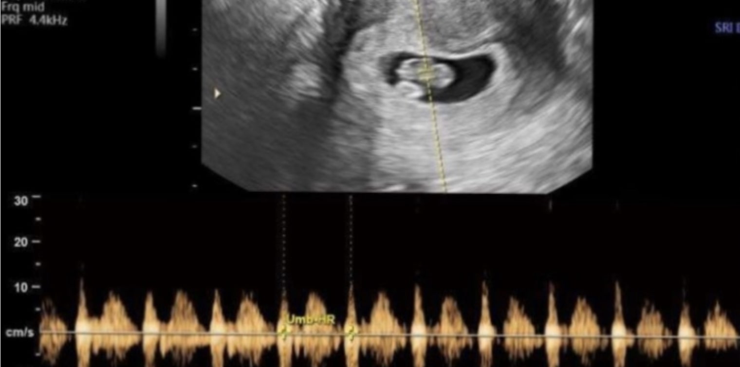
It is important to remember that we do have a long way to go until a healthy baby, but the heartbeat on the ultrasound showed that we are over 95 percent out of the woods.
This patient officially graduated from our clinic and shared the news with family last week!
We wanted to share this incredible story with all of you, to remind you that during these challenging times to not lose hope. We are here for you always.
Hanabusa IVF Refer-A-Friend
Spread the word about us to a friend or family member, and you will BOTH receive a $250 voucher to be used toward a treatment cycle from Hanabusa IVF if scheduled by the end of May 2020.
To take advantage of this offer, the new patient must tell us the name of the referring person. The referring patient will also receive a $250 credit to their account that can be used towards any service you prefer such as storage fees, monitoring appointments, etc.




